протезирование
протезирование

Строение зубочелюстной системы таково, что отсутствие даже одного зуба отрицательно сказывается на работе всех зубов и десен, на самочувствии, общем состоянии и настрое человека. Также отсутствие одного или нескольких зубов способствует развитию воспаления десен, смещению оставшихся зубов из-за неравномерной нагрузки, деформации и разрушений соседних зубов.
Помимо неудобства отсутствие зубов не добавляет красоты и к внешнему облику человека, люди стесняются улыбаться, развиваются комплексы. Поэтому протезирование зубов - это тот единственно возможный вариант, когда можно восстановить не только красивую улыбку, но и здоровье всего зубного ряда и организма в целом. Тем более, что современное стоматологическое протезирование достигло небывалого совершенства. Сегодня искусственные зубы внешне и функционально полностью заменяют натуральные, отличить их визуально от естественных зубов не возможно. Искусственные зубы служат верой и правдой достаточно долго, при должном за ними уходом и конечно, при качественном изначальном проведении протезирования
Выбор вариантов протезирования зубов также достаточно разнообразен, поэтому стоматолог может подобрать пациенту именно тот вариант, который будет наиболее оптимален человеку по ощущениям и по финансам. Протезирование зубов это уже завершающая стадия процесса восстановления зубного ряда. Предшествует этому проведение необходимого лечения зубов, десен в виде пломбирования, снижения возможных воспалительных процессов и т.д. Зачастую лечение и протезирование зубов проходит параллельно и в комплексе.
Строение зубочелюстной системы таково, что отсутствие даже одного зуба отрицательно сказывается на работе всех зубов и десен, на самочувствии, общем состоянии и настрое человека. Также отсутствие одного или нескольких зубов способствует развитию воспаления десен, смещению оставшихся зубов из-за неравномерной нагрузки, деформации и разрушений соседних зубов.
Помимо неудобства отсутствие зубов не добавляет красоты и к внешнему облику человека, люди стесняются улыбаться, развиваются комплексы. Поэтому протезирование зубов - это тот единственно возможный вариант, когда можно восстановить не только красивую улыбку, но и здоровье всего зубного ряда и организма в целом. Тем более, что современное стоматологическое протезирование достигло небывалого совершенства. Сегодня искусственные зубы внешне и функционально полностью заменяют натуральные, отличить их визуально от естественных зубов не возможно. Искусственные зубы служат верой и правдой достаточно долго, при должном за ними уходом и конечно, при качественном изначальном проведении протезирования
Выбор вариантов протезирования зубов также достаточно разнообразен, поэтому стоматолог может подобрать пациенту именно тот вариант, который будет наиболее оптимален человеку по ощущениям и по финансам. Протезирование зубов это уже завершающая стадия процесса восстановления зубного ряда. Предшествует этому проведение необходимого лечения зубов, десен в виде пломбирования, снижения возможных воспалительных процессов и т.д. Зачастую лечение и протезирование зубов проходит параллельно и в комплексе.

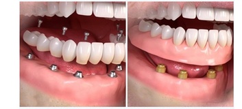
Современное протезирование делится на две основные группы:
- Несъемное протезирование
- Съемное протезирование
Собственно, названия методов говорят сами за себя. Несъемные протезы устанавливаются в ротовую полость прочно, надолго и не подлежат выниманию. Съемные зубные протезы периодически вынимаются из полости рта для очищения, отдыха или сна.
Современное протезирование делится на две основные группы:
- Несъемное протезирование
- Съемное протезирование
Собственно, названия методов говорят сами за себя. Несъемные протезы устанавливаются в ротовую полость прочно, надолго и не подлежат выниманию. Съемные зубные протезы периодически вынимаются из полости рта для очищения, отдыха или сна.
© 2008 - 2021
© 2008 - 2021
Челябинская область, г. Троицк:
ул. Советская, 109, тел.: (35163) 2-18-28, +7 904 303 14 92

сделано
сделано

Сайт не является публичной офертой. Информация предоставлена в ознакомительных целях.
Сайт не является публичной офертой. Информация предоставлена в ознакомительных целях.
ИМЕЮТСЯ ПРОТИВОПОКАЗАНИЯ. НЕОБХОДИМА КОНСУЛЬТАЦИЯ СО СПЕЦИАЛИСТОМ
