полезные советы
полезные советы
Раздел новый - мы будем периодически довавлять в него полезную для Вас информацию.
Надеемся, что Вы найдете для себя много интересного! следите за обновлениями ...
Раздел новый - мы будем периодически довавлять в него полезную для Вас информацию.
Надеемся, что Вы найдете для себя много интересного! следите за обновлениями ...
Посещение взрослого пациента нашего стоматолога
Первоначально нужно записаться на прием, позвонив по телефону, написать на сайт или прийти в клинику. Если вы обращаетесь от организации, с которой у нас заключен договор, вам нужно обратиться сначала в свою страховую компанию и заказать гарантийное письмо. Если вы хотите обратиться на лечение своей семьи по региональному материнскому капиталу, так же нужно прийти сначала на консультацию к доктору предварительно записавшись на прием. На входе надеваете бахилы и подходите к администратору. Там заполняется карта с пациентом, анкета и договор на оказание услуг. Далее ассистент стоматолога приглашает вас в кабинет.
В кабинете происходит знакомство доктора с пациентом, проводится общий осмотр, жалобы, ставится диагноз, обговаривает план лечения с пациентом ,время и сумма.
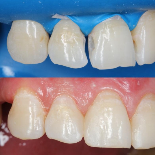
Если поставлен диагноз кариес, на начальной стадии можно обойтись без анестезии. При более глубоком поражении доктор мажет десну гелем, после того как десна «заморозится» уже ставит укол, для большего комфорта пациента. Снимается налет, подготавливают полость, доктор убирает все до здоровых тканей. Дальше идет реставрация зуба, ставится пломба. Проверяется по прикусу ,шлифуется ,полируется.
Если диагноз пульпит, открывается пульповая камера, обрабатывается, промывается, прочищаются каналы и ставиться лекарство до следующего посещения. На второе посещение, если ничего не беспокоит, каналы промываются, обрабатываются и пломбируются, под контролем рентгена снимка ставится постоянная пломба.
Если диагноз периодонтит посещений может быть больше двух. Так же убираются пораженные ткани, но с лекарством нужно ходить дольше от двух недель до месяца, чтобы снять воспаление. Потом в течение года нужно еще прийти на снимок два раза, чтобы контролировать изменения на корнях зуба. Нужно создать условия для восстановления зуба.
Если вам нужна гигиена полости рта доктор так же может ее провести. Сначала зубы обрабатываются гелем скалинг для размягчения твердого налета и зубного камня. Потом он убирает твердый и мягкий зубной налет с помощью ультразвука, чистит и полирует зубы специальной зубной щеткой и пастой. Покрывает фтор лаком.
Наш стоматолог так же даст все рекомендации по уходу за полостью рта, покажет, как правильно чистить зубы, проконсультирует по болезням ротовой полости.
Как выбрать нужный ополаскиватель для рта – Если вы берете ополаскиватель для профилактики кариеса –
желательно использовать средства на основе аминофторида (его еще называют термином «Олафлур») или же фторида натрия. Но имейте в виду, что средства с аминофторидом будут самыми эффективными, т.к. аминофторид сохраняется на зубах и после полоскания (в виде пленочки), из которой фтор будет продолжать проникать в эмаль зубов еще 1-2 часа.
Также стоит обращать внимание на концентрацию фтора в растворе. Она должна быть около 250 ppm. Кроме того, старайтесь не покупать ополаскиватели, содержащие антисептики, иначе такие средства нельзя будет использовать более 2-3 недель.
Схема использования – пользуйтесь ополаскивателями 2-3 раза в день, сразу после чистки зубов. Полоскать рот около 1 минуты. Если вы используете ополаскиватель, содержащий фтор, то лучше всего тогда перед этим использовать зубную пасту на основе кальция, и не содержащую фтора. В этом случае укрепление зубов и противокариозный эффект будут максимальными. Если ополаскиватель содержит антисептики – например, хлоргексидин, триклозан, метил-салицилат, бензидамин, цетилпиридиния хлорид и другие, то курс применения такого средства не может превышать 2-3 недель, иначе можно заработать дисбактериоз полости рта, сухость и раздражение слизистой, стойкий неприятный запах изо рта после отмены такого ополаскивателя.
Ополаскиватели с антисептиками лучше использовать только в составе комплексной терапии гингивита и пародонтита (воспаления десен) параллельно с другими препаратами, и только после удаления зубных отложений на зубах у стоматолога. А вот если ополаскиватель содержит только растительные компоненты (экстракты и отвары трав), то такие ополаскиватели подойдут для профилактики обострений хронического воспаления десен, и им можно пользоваться на постоянной основе без перерывов.
Содержание спирта – если вы водите машину или берете ополаскиватель для ребенка старше 6-ти лет, то обращайте внимание на содержание спирта. Большинство ополаскивателей содержат спирт в качестве растворителя.
Что важно для зубов весной
Если сравнивать сегодняшних пациентов стоматологических клиник и пациентов, какими они были 20 лет назад, можно отметить очень позитивные изменения. Сейчас они гораздо более грамотны в вопросах стоматологии, больше интересуются тем, что происходит с их здоровьем, лучше понимают взаимосвязь здоровья зубов со здоровьем всего организма.
Заинтересованы в повышении качества жизни, что напрямую связано с возможностью полноценно питаться, и с удовольствием есть все, что хочется, не испытывая трудностей с жеванием. Красивая улыбка для них – это не только приятная составляющая личной жизни, но и необходимое условие для получения высокооплачиваемой работы. И главное – появилось понимание важности профилактики заболеваний, в том числе и болезней зубов и десен. Какая профилактика наиболее важна весной?
Что важно для зубов весной
Если сравнивать сегодняшних пациентов стоматологических клиник и пациентов, какими они были 20 лет назад, можно отметить очень позитивные изменения. Сейчас они гораздо более грамотны в вопросах стоматологии, больше интересуются тем, что происходит с их здоровьем, лучше понимают взаимосвязь здоровья зубов со здоровьем всего организма.
Заинтересованы в повышении качества жизни, что напрямую связано с возможностью полноценно питаться, и с удовольствием есть все, что хочется, не испытывая трудностей с жеванием. Красивая улыбка для них – это не только приятная составляющая личной жизни, но и необходимое условие для получения высокооплачиваемой работы. И главное – появилось понимание важности профилактики заболеваний, в том числе и болезней зубов и десен. Какая профилактика наиболее важна весной?
Зима закончилась. Дни стали длиннее, но нехватка солнца зимой, недостаток свежих овощей и фруктов ослабили наши организмы и сейчас нужно как-то помочь себе и восполнить недостаток необходимых веществ. Например, можно провести курс насыщения тканей зуба кальцием и фтором. В настоящее время в аптеках есть большой выбор этих препаратов в разной ценовой категории. Однако, мой совет, сначала проконсультироваться со своим стоматологом, что необходимо именно вам.
Это избавит вас от лишних трат, а также позволит оценить эффективность проведенного курса. Обычно он проводится в течение месяца и сочетает прием препарата, содержащего кальций, фтор и витамин D и аппликаций на зубы препаратов, содержащих фтор и кальций (можно просто намазать на зубы пальцем зубную пасту, содержащую эти соединения и оставить на несколько минут, затем рот прополоскать). В воде недостаточное количество фтора, а продукты, содержащие необходимые зубам вещества не очень популярны.
Зима закончилась. Дни стали длиннее, но нехватка солнца зимой, недостаток свежих овощей и фруктов ослабили наши организмы и сейчас нужно как-то помочь себе и восполнить недостаток необходимых веществ. Например, можно провести курс насыщения тканей зуба кальцием и фтором. В настоящее время в аптеках есть большой выбор этих препаратов в разной ценовой категории. Однако, мой совет, сначала проконсультироваться со своим стоматологом, что необходимо именно вам.
Это избавит вас от лишних трат, а также позволит оценить эффективность проведенного курса. Обычно он проводится в течение месяца и сочетает прием препарата, содержащего кальций, фтор и витамин D и аппликаций на зубы препаратов, содержащих фтор и кальций (можно просто намазать на зубы пальцем зубную пасту, содержащую эти соединения и оставить на несколько минут, затем рот прополоскать). В воде недостаточное количество фтора, а продукты, содержащие необходимые зубам вещества не очень популярны.
Зачем лечить зубы? 5 фактов ЗА!
Для многих недугов в нашем организме причиной являются заболевания зубов.
Да, от состояния полости рта зависит не только наш внешний вид, но и наше здоровье.
Не верится? Убедитесь сами!
5 ФАКТОВ В ПОЛЬЗУ ЛЕЧЕНИЯ ЗУБОВ
1 факт. Здоровые зубы — здоровый организм!
Пищеварительный процесс начинается в ротовой полости. Вредоносные бактерии в кариозных полостях контактируют с пищей, и попадают в организм через пищеварительную систему. Из-за этого могут развиться гастрит, язва желудка, колит и др.
Отсутствие зуба или его частичное разрушение вызывает асимметрию зубных рядов и нарушение работы височно-нижнечелюстного сустава (ВНЧС). У человека, имеющего такую патологию, может возникнуть нарушение слуха или зрения, головные боли, «заклинивание» челюсти или щелчки во время жевания.
Зачем лечить зубы? 5 фактов ЗА!
Для многих недугов в нашем организме причиной являются заболевания зубов.
Да, от состояния полости рта зависит не только наш внешний вид, но и наше здоровье.
Не верится? Убедитесь сами!
5 ФАКТОВ В ПОЛЬЗУ ЛЕЧЕНИЯ ЗУБОВ
1 факт. Здоровые зубы — здоровый организм!
Пищеварительный процесс начинается в ротовой полости. Вредоносные бактерии в кариозных полостях контактируют с пищей, и попадают в организм через пищеварительную систему. Из-за этого могут развиться гастрит, язва желудка, колит и др.
Отсутствие зуба или его частичное разрушение вызывает асимметрию зубных рядов и нарушение работы височно-нижнечелюстного сустава (ВНЧС). У человека, имеющего такую патологию, может возникнуть нарушение слуха или зрения, головные боли, «заклинивание» челюсти или щелчки во время жевания.
2 факт. Здоровые зубы — красивая фигура!
Связь довольно проста: человек, страдающий заболеваниями полости рта или не имеющий нескольких зубов, как правило, неполноценно разжевывает пищу, а значит, она поступает в желудок неподготовленной для нормальной обработки и усвоения. Нарушается обмен веществ, вес увеличивается. Интересен результат исследования японских ученых, обследовавших 14 тыс. человек и выяснивших, что люди, которые чистят зубы три раза в день, реже страдают от избыточного веса.
3 факт. Здоровые зубы — это свежее дыхание.
Любая активная инфекция во рту может вызвать неприятный запах. При заболеваниях десен (пародонтит) между зубами и деснами образуются промежутки ("пародонтальные карманы"), в которых скапливается большое количество бактерий. Эти карманы бывают такими глубокими, что их трудно как следует очистить; скапливающиеся в них бактерии и продукты их жизнедеятельности также вызывают неприятный запах.
4 факт. Здоровые зубы — здоровое окружение!
Исследования показали, что причина возникновения кариеса приписана бактериям под названием streptococcus mutans. Это означает, что кариес может переноситься как инфекционное заболевание от одного человека к другому. Это может произойти, если слюна человека, имеющего кариес, попадает в ротовую полость здоровому. Например, когда мама или папа облизывают ложку, или соску ребенка, пробуют еду или просто целуют малыша. Заражению кариесом подвержены и взрослые люди.
5 факт. Здоровые зубы — здоровое общение.
Все начинается с улыбки: знакомство, встреча, беседа. Конечно, плохие зубы сами по себе не мешают улыбаться и смеяться от души. Другой вопрос в том, будет ли их владелец делать это так же непринужденно и с удовольствием, как если бы у него были ровные и белые зубы… Исследование психологов говорит о том, что люди, имеющие проблемы с зубами создают для себя такие условия труда, при которых им приходится реже демонстрировать другим себя, т. е. фактически лишают себя общения с окружающими.
Для многих из нас здоровье стоит на одном из первых мест в системе жизненных приоритетов. В то же время зубы, как правило, гораздо ниже в этой иерархии. Но, оказывается, что здоровье зубов напрямую влияет на здоровье всего организма.
Пожалуй, стоит уделять зубам больше внимания, чем мы привыкли, чтобы сохранить их на долгие годы и даже в глубокой старости не отказывать себе в любимых блюдах и красиво улыбаться.
Зубной камень
Что такое зубной камень и налет?
Зубной налет - это липкая пленка, образующаяся на Ваших зубах, пленка эта состоит из живых и мертвых бактерий. Если налет не удалять, он может за двое суток затвердеть, достигая твердости камня. Это образование известно как зубной камень, и он уже составляет существенную проблему для гигиены и здоровья полости рта.
Налет и зубной камень, которые оседают на Ваших зубах и деснах, приводят к серьезным проблемам, таким, как гингивит и пародонтит.
Вы не можете удалить зубной камень самостоятельно. Он налипает, как ракушка на корабль, и для удаления требуется профессиональная помощь — если вы читали в детстве книги о моряках, то знаете, что очистка корабельного днища процесс трудоемкий. Но удалить налет со своих зубов Вы можете сами, а, удаляя налет, Вы во многом предупредите образование зубного камня. Удаление налета — это совсем не трудно.
Зубной камень
Что такое зубной камень и налет?
Зубной налет - это липкая пленка, образующаяся на Ваших зубах, пленка эта состоит из живых и мертвых бактерий. Если налет не удалять, он может за двое суток затвердеть, достигая твердости камня. Это образование известно как зубной камень, и он уже составляет существенную проблему для гигиены и здоровья полости рта.
Налет и зубной камень, которые оседают на Ваших зубах и деснах, приводят к серьезным проблемам, таким, как гингивит и пародонтит.
Вы не можете удалить зубной камень самостоятельно. Он налипает, как ракушка на корабль, и для удаления требуется профессиональная помощь — если вы читали в детстве книги о моряках, то знаете, что очистка корабельного днища процесс трудоемкий. Но удалить налет со своих зубов Вы можете сами, а, удаляя налет, Вы во многом предупредите образование зубного камня. Удаление налета — это совсем не трудно.
Зубной камень гораздо опаснее налета, так как помимо эстетических проблем (потемнение зубной эмали) может в конечном счете привести к полной потере одного или нескольких зубов. К сожалению, несчастливыми обладателями зубного камня являются 60–70% взрослого населения.
Кроме того, это существенное препятствие для нормального протезирования и пломбирования зубов, и зубной камень обязательно нужно удалить перед данными процедурами.
Удаление зубного камня — уже не профилактика, а лечение. Стоматологи рекомендуют удалять зубной камень примерно раз в полгода-год. Иногда этот процесс бывает болезненным. При необходимости удаление зубного камня проводят под анестезией.
Зубной камень гораздо опаснее налета, так как помимо эстетических проблем (потемнение зубной эмали) может в конечном счете привести к полной потере одного или нескольких зубов. К сожалению, несчастливыми обладателями зубного камня являются 60–70% взрослого населения.
Кроме того, это существенное препятствие для нормального протезирования и пломбирования зубов, и зубной камень обязательно нужно удалить перед данными процедурами.
Удаление зубного камня — уже не профилактика, а лечение. Стоматологи рекомендуют удалять зубной камень примерно раз в полгода-год. Иногда этот процесс бывает болезненным. При необходимости удаление зубного камня проводят под анестезией.
Причины образования зубного камня
Основными причинами образования зубного камня является неправильная или недостаточная гигиена полости рта. Каждый ребенок знает, что чистка зубов должна выполняться 2 раза в день (утром и вечером) не менее 2 минут. Неправильный подбор зубной щетки, зубной пасты или зубного порошка также могут привести к образованию налета, который постепенно трансформируется в зубной камень.
Чтобы максимально обезопасить себя и свое здоровье, необходимо после приемов пищи использовать зубную нить или жевательную резинку.
Ключевые факторы, способствующие образованию зубного камня:
Профилактика и удаление зубного камня
Чистка зубов
Трение, возникающее между зубной щеткой и поверхностью зубов, нарушает рост бактериальной бляшки, но только при условии, если Вы правильно чистите зубы.
Перемещать щетку вверх и вниз или назад и вперед — распространенная ошибка. Ее нужно повернуть так, чтобы щетина находилась под углом 45° по отношению к области, где соединяются зубы и десна. Итак, теперь вы готовы вычищать налет щетинками, производя движения по направлению от десны к зубу: сначала зубы верхней челюсти, а затем нижней. Внутреннюю поверхность зубов также надо полностью очистить от налета.
«Зубы мудрости», самые последние зубы - это место, где происходит наибольшее накопление налета, и их надо вычищать особенно тщательно.
Для чистки зубов нужно минимум две минуты. Однако, большинство из нас чистят зубы всего полминуты. Не следуйте неверному инстинкту и торопливости. Очень помогает в этом музыка. Одна песня или мелодия обычно длится 2-3 минуты. Возьмите за правило чистить зубы на протяжении всего этого времени. Получится приятно и полезно.
Всем хорошо известно, что зубы нужно чистить дважды в день. Однако, многие делают это только один раз, утром, после завтрака. Перед сном чистить зубы тоже обязательно нужно. Не позволяйте остаткам пищи оставаться во рту на ночь. В крайнем случае, если Вам настолько трудно часто чистить зубы — делайте это перед сном, чтобы не дарить налету дополнительные 8 спокойных часов, за которые он сделает важные шаги по превращению в зубной камень.
Выбор зубной щетки
Первый и малоизвестный принцип — маленькая щетка лучше большой, потому что она позволяет добраться до всех зубов, включая те, что расположены глубоко. Зубная щетка большого размера только выглядит солидно. Практического смысла в ней мало. Она никак не ускорит чистку зубов (а мы уже поняли, что ускорять этот процесс нежелательно), но при этом помешает качеству процесса, не позволит изгнать изо рта микробы, грозящие образованием зубного камня.
Выбирая щетку по признаку жесткости — выбирайте среднюю. Такая жесткость оптимальна для безопасности десен и удаления налета. Лучше, если щетина будет закругленной — она не травмирует десна, подобно не закругленной, которая бывает слишком острой.
В некоторых щетках присутствуют резиновые вставки. Это не «архитектурное излишество». Благодаря им щетка использует принцип ластика, и механическое воздействие на эмаль зуба увеличивается. Щетка со вставками целесообразна для людей, склонных к образованию зубного камня, и заядлых курильщиков.
Массажеры - еще один вид комбинированных зубных щеток. Резиновые вставки в форме пальчиков располагаются в них по краям щетины и используются для стимуляции кровообращения в деснах и улучшении питания тканей пародонта, что способствует не только удалению налета и профилактике образования зубного камня, но и общему здоровью зубов.
Зубная нить
Для очистки межзубных промежутков лучше использовать зубную нитью (флосс), а не щетку. А вот от деревянных зубочисток стоит отказаться, они неполноценно прочищают промежутки между зубами и могут травмировать десну и даже оставлять занозы; пусть Вас не смущает их популярность: это просто инертность мышления. Флосс прочищает межзубной промежуток полностью и, кроме того, не повреждает десну. Процесс прост: отрежьте 45 см нитки и намотайте один конец на средний палец одной руки, а другой конец - на тот же палец другой руки, оставив между ними 2-3 см нити. Пропустите нитку между зубами и, когда она достигнет линии десны, согните ее в виде буквы «с» вокруг зуба и соскользните с его поверхности. Вокруг другого зуба очистите таким же образом. Но, чтобы не повредить десну, не стоит производить режущих (внутрь-наружу) движений нитью.
Паста
Обычная профилактическая зубная паста с хорошими чистящим и освежающим эффектами подходит на каждый день. Лучше пользоваться разными зубными пастами: например, вечером зубной пастой с противовоспалительными травами, а утром кальцийсодержащей. Отбеливающие пасты могут быть слишком абразивными, травмировать эмаль и повышать чувствительность зубов, поэтому увлекаться ими не следует.
Полоскания
Полоскать рот лучше после каждого приема пищи, особенно если Вы не носите с собой зубную щетку (согласитесь, это редкая привычка, хотя полезная). Для удаления всех остатков пищи достаточно одного хорошего полоскания. Зубной эликсир — отличное изобретение, он существенно эффективнее простой воды.
Жевательная резинка
Это тот случай, когда реклама права. Жевательная резинка ничуть не менее эффективна, чем полоскание рта — просто вопрос вкуса. Более того, она может полезно влиять на зубы и ткани полости рта, если в нее добавлен кальций, ксилитол или другие полезные компоненты. Она обычно находится во рту более продолжительное время, чем зубная паста или эликсир и, следовательно, полезные компоненты (кальций, фосфор, витамины и др.) в большем количестве успевают проникнуть в ткани зуба и пародонта, способствуя укреплению эмали. Хорошим дополнением к прочим средствам гигиены будет жевательная резинка с кальцием или другими полезными препаратами, используемая два-три раза в день по 10-15 минут.
Электрическая зубная щетка
Доказано, что электрические зубные щетки удаляют до 98,2% налета на зубах по сравнению с 48,6%, удаляемых вручную, при условии, что использование электрической щеткой занимает те же две минуты, и расположение щетины будет таким же, что и при правильной обычной чистке.
Два раза в год посещайте стоматолога
Придерживаться его особенно следует людям, подверженным кариесу, а также страдающим различными хроническими заболеваниями. И хотелось бы напомнить еще раз: удаление зубного камня, если он уже образовался, нельзя произвести самостоятельно. Снятие зубного камня может произвести только стоматолог при помощи специальных инструментов.
Признаки болезни зубов
Заболевания зубов и полости рта — достаточно распространенные проблемы, с которыми сталкиваются люди разного возраста. Причины могут быть самыми различными — недостаток витаминов, ослабленная иммунная система, не правильное питание, травма, хроническое вирусное или инфекционное заболевание.
Признаки болезни зубов могут проявиться и на фоне сопутствующего заболевания полости рта. Для эффективного лечения и профилактики развития подобных патологий очень важно вовремя распознать симптомы болезни. В том случае, если вовремя обратиться помощью к специалисту, можно добиться быстрого и эффективного решения возникшей проблемы. Для этого следует знать основные признаки и симптомы распространенных заболеваний зубов и полости рта.
Заболевания зубов и полости рта — достаточно распространенные проблемы, с которыми сталкиваются люди разного возраста. Причины могут быть самыми различными — недостаток витаминов, ослабленная иммунная система, не правильное питание, травма, хроническое вирусное или инфекционное заболевание.
Признаки болезни зубов могут проявиться и на фоне сопутствующего заболевания полости рта. Для эффективного лечения и профилактики развития подобных патологий очень важно вовремя распознать симптомы болезни. В том случае, если вовремя обратиться помощью к специалисту, можно добиться быстрого и эффективного решения возникшей проблемы. Для этого следует знать основные признаки и симптомы распространенных заболеваний зубов и полости рта.
СТОМАТИТ
Стоматит может быть двух видов — инфекционным и травматическим.
Инфекционная форма чаще всего возникает на фоне текущего кишечного заболевания или других вирусных болезней.
Первыми симптомами являются небольшие язвочки на слизистой рта и повышенная температура.
Травматический стоматит является следствием различных повреждений в полости рта или зубов. Характерными признаками являются припухлые десна.
Лечение назначается только после комплексного обследования у терапевта и стоматолога.
СТОМАТИТ
Стоматит может быть двух видов — инфекционным и травматическим.
Инфекционная форма чаще всего возникает на фоне текущего кишечного заболевания или других вирусных болезней.
Первыми симптомами являются небольшие язвочки на слизистой рта и повышенная температура.
Травматический стоматит является следствием различных повреждений в полости рта или зубов. Характерными признаками являются припухлые десна.
Лечение назначается только после комплексного обследования у терапевта и стоматолога.
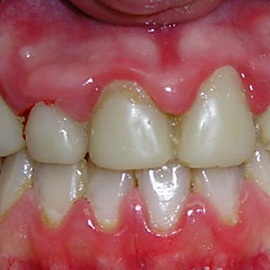
ГИНГИВИТ
Гингивит — заболевание десен, возникающее из-за накапливания патогенных микроорганизмов. При не правильном или несвоевременном лечении может перейти в более сложную хроническую деструктивную форму — пародонтит. Основными причинами являются воспаления десен, микробный налет на зубах и полости рта.
Признаками гингивита являются небольшие припухлости и легкий отек на деснах, зубной камень и мягкие отложения на зубах. Основным симптомом болезни является кровоточивость десны во время еды или чистки зубов.
Основными причинами появления и развития заболеваний зубов и полости рта является несоблюдение личной гигиены, не правильный уход за зубами и осложнения вследствие других сопутствующих болезней. Общими признаками заболеваний, при возникновении которых следует немедленно обратиться к специалисту, можно назвать не приятных запах изо рта, легкий дискомфорт во время приема пищи или чистки зубов.
ГИНГИВИТ
Гингивит — заболевание десен, возникающее из-за накапливания патогенных микроорганизмов. При не правильном или несвоевременном лечении может перейти в более сложную хроническую деструктивную форму — пародонтит. Основными причинами являются воспаления десен, микробный налет на зубах и полости рта.
Признаками гингивита являются небольшие припухлости и легкий отек на деснах, зубной камень и мягкие отложения на зубах. Основным симптомом болезни является кровоточивость десны во время еды или чистки зубов.
Основными причинами появления и развития заболеваний зубов и полости рта является несоблюдение личной гигиены, не правильный уход за зубами и осложнения вследствие других сопутствующих болезней. Общими признаками заболеваний, при возникновении которых следует немедленно обратиться к специалисту, можно назвать не приятных запах изо рта, легкий дискомфорт во время приема пищи или чистки зубов.
Полезные и вредные продукты для зубов
Полезные продукты для зубов:
Вредные продукты для зубов:
Стоматит - болезнь грязных рук
Многие пациенты стоматологии «Новая жизнь» задают вопрос, как лечится стоматит - воспалительные процессы на слизистой оболочке полости рта, которые являются защитной реакцией человеческого организма на всевозможные раздражители.
Многие пациенты стоматологии «Новая жизнь» задают вопрос, как лечится стоматит - воспалительные процессы на слизистой оболочке полости рта, которые являются защитной реакцией человеческого организма на всевозможные раздражители.
В большинстве случаев стоматитом болеют дети, но по причине экологических проблем и массового ухудшения иммунитета у людей, заболевание стало часто встречаться у взрослой категории населения.
В большинстве случаев стоматитом болеют дети, но по причине экологических проблем и массового ухудшения иммунитета у людей, заболевание стало часто встречаться у взрослой категории населения.
Патогенные бактерии всегда находятся на слизистой оболочке во рту, это норма. При несбалансированном или неполноценном питании, недостаточном поступлении в организм витаминов группы B и других полезных микроэлементов риск развития заболевания резко увеличивается.
Патогенные бактерии всегда находятся на слизистой оболочке во рту, это норма. При несбалансированном или неполноценном питании, недостаточном поступлении в организм витаминов группы B и других полезных микроэлементов риск развития заболевания резко увеличивается.
Провоцируют развитие стоматита травмы, полученные термическим, механическим или химическим способом в ротовой полости. Развитие болезни может быть вызвано укусом щеки во время жевания, царапинами, полученными из-за острых краев протеза, от употребления твердой пищи или после химического ожога кислотосодержащими или щелочными растворами. В большинстве случаев незначительные травмы быстро заживают, но, если иммунитет ослаблен, может развиться стоматит.
Провоцируют развитие стоматита травмы, полученные термическим, механическим или химическим способом в ротовой полости. Развитие болезни может быть вызвано укусом щеки во время жевания, царапинами, полученными из-за острых краев протеза, от употребления твердой пищи или после химического ожога кислотосодержащими или щелочными растворами. В большинстве случаев незначительные травмы быстро заживают, но, если иммунитет ослаблен, может развиться стоматит.
Стоматит часто называют болезнью грязных рук. Одной из причин проявления стоматита может быть нарушение личной гигиены – грязные руки, немытая пища, старая зубная щетка. Кстати, алкогольные напитки и сигареты также способствуют появлению язвенных образований в полости рта. Сопутствуют появлению стоматита и нарушения функций различных человеческих систем.
Стоматит часто называют болезнью грязных рук. Одной из причин проявления стоматита может быть нарушение личной гигиены – грязные руки, немытая пища, старая зубная щетка. Кстати, алкогольные напитки и сигареты также способствуют появлению язвенных образований в полости рта. Сопутствуют появлению стоматита и нарушения функций различных человеческих систем.
Лечение легкой формы заболевания возможно в домашних условиях. При запущенном стоматите специалисты стоматологии «Новая жизнь» рекомендуют обращаться к врачу.
© 2008 - 2021
© 2008 - 2021
Челябинская область, г. Троицк:
ул. Советская, 109, тел.: (35163) 2-18-28, +7 904 303 14 92

сделано
сделано

Сайт не является публичной офертой. Информация предоставлена в ознакомительных целях.
Сайт не является публичной офертой. Информация предоставлена в ознакомительных целях.
ИМЕЮТСЯ ПРОТИВОПОКАЗАНИЯ. НЕОБХОДИМА КОНСУЛЬТАЦИЯ СО СПЕЦИАЛИСТОМ

















